Management of recurrent prostate cancer after focal therapy - Urology Times

Prostate cancer detection using transrectal ultrasound-guided biopsy provided the necessary diagnosis to recommend radical treatment. Until recently, patients had a limited number of treatments for localized prostate cancer. These limitations exacerbated the overtreatment of prostate cancer and caused concern that overdiagnosis should be prevented to limit unnecessary treatments and comorbidities. However, in other cancers facing similar concerns, attempts were made to reduce the treatment field and preserve the patient's quality of life while still receiving adequate treatment. Partial nephrectomy, lumpectomy, and other organ-preserving operations quickly gained momentum and were supported by studies showing the potential benefits.
Yet, prostate cancer largely remained hindered by concerns that cancer detection was not sufficient to focally treat the prostate. This Achilles heel was finally remedied with the introduction of multiparametric MRI of the prostate. There is now a constant stream of reports supporting the use of focal therapy for prostate cancer. In the European Union, padeliporfin (Tookad) and vascular targeted photodynamic therapy has been approved for the treatment of low-risk prostate cancer. The rising popularity of focal therapy has raised concern from urologists on how to appropriately manage patients who have recurrent prostate cancer following focal therapy.
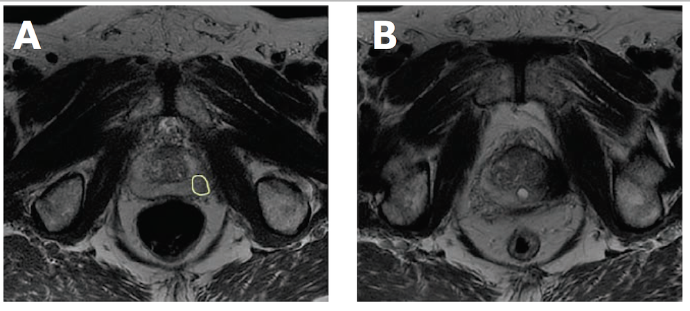
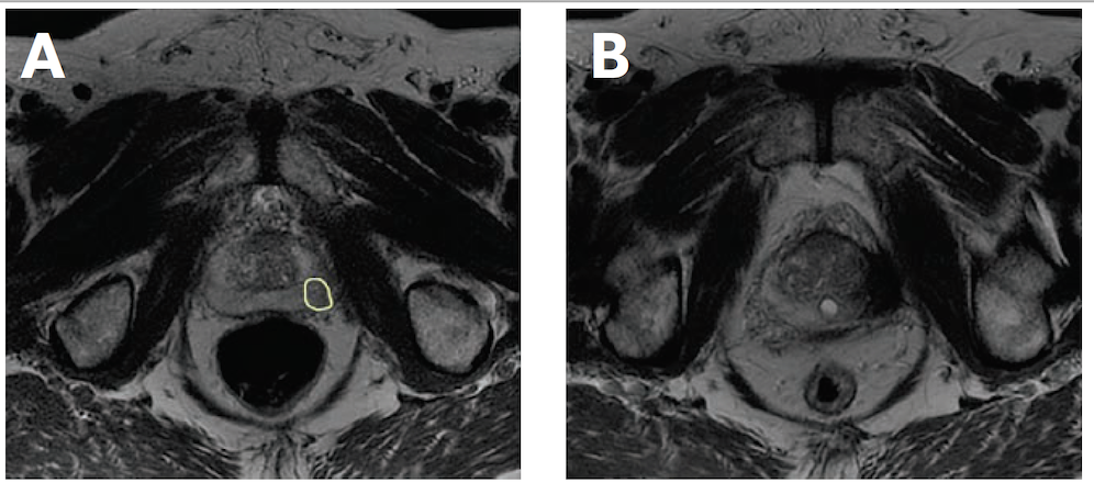
After undergoing focal therapy, patients typically undergo a posttreatment biopsy and are subsequently monitored with serial prostate-specific antigen (PSA) tests and MRI exams. Prostate cancer recurrence may be identified at any point during the follow-up after treatment. Similar to patients who are being followed on active surveillance, there are challenges classifying cancer that is detected during follow-up. Based on our experience from patients undergoing radical prostatectomy, recurrence is frequently attributed to cancers growing in the resection bed or as newly detected areas of previously occult metastases. However, from the perspective of patients undergoing focal therapy, a recurrence could be either in the previously treated area or a newly identified foci in an untreated segment of the prostate. During the posttreatment biopsy, cores are obtained from the treatment zone in addition to the remaining prostate. Figure 1 illustrates a patient who underwent focal therapy of the left lateral peripheral zone, with persistent cancer identified on the 6-month biopsy. One of the most frequently proposed criticisms of focal therapy is the potential for untreated occult cancers. Although this is a valid concern, there are several treatment options for these patients and for those who have residual cancer in the focal therapy treatment zone. Figure 2 demonstrates a patient with successful ablation of a right-sided lesion but with newly discovered occult contralateral cancer identified on the systematic biopsies. Classifying the cancer recurrence can help guide recommendations for salvage treatments.
Patients with recurrent prostate cancer following focal therapy are offered many of the same treatment choices that they considered at the time of their initial diagnosis. To help determine the appropriate treatment choice, a risk-based approach, similar to that described by Aminsharifi et al, could be considered (Figure 3).1 Options range from active surveillance to radical prostatectomy. For many patients, their preference to select focal therapy suggests a desire to avoid jeopardizing their quality of life. Regardless of their prior preference, a thorough discussion of all treatment options and the potential risk for adverse effects is important to selecting the best treatment.
Posttreatment identification of low-risk prostate cancer is common in patients undergoing focal therapy. To date, there are no published series of post focal-therapy active surveillance cohorts.2 However, there is no reason to believe these patients experience a higher likelihood of disease progression or spread. Importantly, many patients may have been on active surveillance before electing to undergo focal therapy. Regardless of their history, patients with low-risk cancer remain good candidates for active surveillance. Patients with low-volume, intermediate-risk prostate cancer may also consider active surveillance. For these patients, concordance with PSA levels and MRI can be reassuring as they avoid additional treatment. However, patients with a new MRI lesion corresponding to the foci of cancer recurrence, or with a PSA that continues to increase over, may benefit from definitive local therapy.
Patients who are particularly satisfied with their initial focal therapy experience may be inclined to request a retreatment with additional focal therapy. Retreatment with ablative treatments such as cryotherapy or high-intensity focused ultrasound (HIFU) varies by location and provider preference, with some studies showing a high rate of secondary treatment. For patients with newly discovered contralateral disease, ablation of the new foci may provide oncologic control with similar preservation of urinary and sexual function. Lovegrove et al evaluated the functional outcomes of patients undergoing repeat HIFU and compared them with patients who underwent a single treatment.3 They found that men undergoing a single HIFU procedure generally experienced improvement in urinary symptoms with some decline in erectile function. When looking at men who underwent a second HIFU treatment, they had a worsening of both their urinary function and erectile function. There was no significant impact in continence with repeat HIFU therapy. Their results support a gradual decline in quality of life with an increase in treatment burden. Importantly, patients who are considering repeat focal therapy should know that some recommend against salvage prostatectomy after repetitive ablative procedures. Treatment failure rates after repeat ablation vary by study and selection of treatment candidates but can be as high as 26%.4 For patients who fail repeat ablation, the potential for additional impacts on quality of life are expected to increase but are not particularly well characterized.
Patients who considered radical prostatectomy or radiation therapy prior to focal therapy may reconsider this treatment choice at the time of recurrence. Patients with high-risk prostate cancer are not typically offered focal therapy up front but may have occult high-risk/high-grade cancer found on subsequent biopsy. For these patients, radical prostatectomy or radiation therapy are the best treatments to provide definitive local therapy. Given the concern that prostatectomy may be more challenging after focal therapy, there are several prostatectomy series evaluating focal therapy patients. Most of these studies have found that post focal-therapy prostatectomy is safe and provides good function outcomes. However, recently Marconi et al showed that patients with recurrence in the previously treated field may experience worse oncologic outcomes.5 This is an important factor to consider, but prostatectomy may still avoid the impact of androgen deprivation therapy associated with radiation therapy and allows for additional salvage treatment if needed.
Conclusions
Focal therapy continues to gain popularity for select patients who desire preservation of function while effectively treating localized prostate cancer. However, with this growth, more patients have experienced recurrence after focal therapy. This creates a new group of patients who need secondary local therapy. They also may have heightened expectations given their prior treatment experience. Careful consideration of treatment options is important to match the best treatment with the patient's preferences. Fortunately, patients who have received focal therapy appear to be candidates for all the typical prostate cancer treatments. With continued improvements in prostate cancer imaging and new ablative treatment options, we can expect continued growth in focal therapy procedures. Post focal-therapy salvage therapies will play an important part in assuring the success of a new treatment paradigm. We can look to other cancers to be reassured that patients will desire to continue exploring focal therapy and that clinicians will find a way to make it increasingly beneficial.
Stratton is an associate professor of urologic oncology at the University of Oklahoma, Oklahoma City and Patel is a resident urologist at the University of Oklahoma, Oklahoma City.
References
1. Aminsharifi A, Polascik TJ. Diagnosis and management of local recurrence after prostate focal therapy: challenges and solutions. Eur Urol Oncol. 2019;2(5):539-540. doi:10.1016/j.euo.2019.07.008
2. Marra G, Valerio M, Emberton M, et al. Salvage local treatments after focal therapy for prostate cancer. Eur Urol Oncol. 2019;2(5):526-538. doi:10.1016/j.euo.2019.03.008
3. Lovegrove CE, Peters M, Guillaumier S, et al. Evaluation of functional outcomes after a second focal high-intensity focused ultrasonography (HIFU) procedure in men with primary localized, non-metastatic prostate cancer: results from the HIFU Evaluation and Assessment of Treatment (HEAT) registry. BJU Int. 2020;125(6):853-860. doi:10.1111/bju.15004
4. Stabile A, Orczyk C, Hosking-Jervis F, et al. Medium-term oncological outcomes in a large cohort of men treated with either focal or hemi-ablation using high-intensity focused ultrasonography for primary localized prostate cancer. BJU Int. 2019;124(3):431-440. doi:10.1111/bju.14710
5. Marconi L, Stonier T, Tourinho-Barbosa R, et al: Robot-assisted radical prostatectomy after focal therapy: oncological, functional outcomes and predictors of recurrence. Eur Urol. 2019;76(1): 27-30. doi:10.1016/j.eururo.2019.03.007
Comments
Post a Comment